Treating cuff tear arthropathy in the active patient - the CTA prosthesis
total read time
Many of our patients with classical cuff tear arthropathy want to lead active lives. They wish to avoid a reverse total shoulder because of concerns about activity limitations, dislocation, screw breakage or humeral shaft fracture should they fall. If these individuals have active elevation > 90 degrees and have no evidence of anterior superior instability, we discuss the option of a CTA prosthesis.
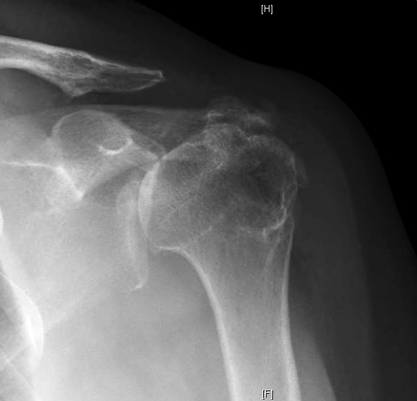
Here's the example of a lady in her mid sixties with a failed cuff repair. Two years after that surgery she presented to us with a weak and painful shoulder. She was taking prednisone, methotrexate and Humira for her rheumatoid arthritis. She had active elevation to 110 and passive elevation to 160 degrees. Her x-rays at this time are shown below.
She elected a CTA arthroplasty. At surgery she had an irreparable cuff defect involving her supraspinatus and infraspinatus.
She dropped by to see us nine years after surgery. Her films at that time are shown below.
Her shoulder was painless. Her active elevation is shown below.
As another example we recently we saw an active physician-rancher who had had bilateral CTA prostheses performed after failed cuff repairs. Because he recognized that his ranching was demanding on his shoulders and carried the risk of falls, he preferred the CTA over the reverse total shoulder.
Before his left shoulder surgery his films were as shown below and he reported the ability to perform only 5 of the 12 Simple Shoulder Test functions. He was able to elevate his arm to over 90 degrees and had no anterosuperior instability.

At the time of surgery he had no supraspinatus, no infraspinatus and a detached subscapularis.
We were able to reattach his subscapularis.
At four years after surgery, he could perform 8 of the 12 SST functions and had the radiographs shown below. Note the impaction grafted humeral stem and the articulation of the prosthesis with the undersurface of the coracoacromial arch.

Two years after his right shoulder arthroplasty he could perform 8/12 SST functions and was back at work on his ranch. His 2 year films are shown below.

Here's a video of his function at his last clinic visit.
Here's the example of a lady in her mid sixties with a failed cuff repair. Two years after that surgery she presented to us with a weak and painful shoulder. She was taking prednisone, methotrexate and Humira for her rheumatoid arthritis. She had active elevation to 110 and passive elevation to 160 degrees. Her x-rays at this time are shown below.
She elected a CTA arthroplasty. At surgery she had an irreparable cuff defect involving her supraspinatus and infraspinatus.
She dropped by to see us nine years after surgery. Her films at that time are shown below.
Her shoulder was painless. Her active elevation is shown below.
As another example we recently we saw an active physician-rancher who had had bilateral CTA prostheses performed after failed cuff repairs. Because he recognized that his ranching was demanding on his shoulders and carried the risk of falls, he preferred the CTA over the reverse total shoulder.
Before his left shoulder surgery his films were as shown below and he reported the ability to perform only 5 of the 12 Simple Shoulder Test functions. He was able to elevate his arm to over 90 degrees and had no anterosuperior instability.

At the time of surgery he had no supraspinatus, no infraspinatus and a detached subscapularis.
We were able to reattach his subscapularis.
At four years after surgery, he could perform 8 of the 12 SST functions and had the radiographs shown below. Note the impaction grafted humeral stem and the articulation of the prosthesis with the undersurface of the coracoacromial arch.

Two years ago he presented with a similar situation in his right shoulder. His SST score was 3/12. He had active elevation of 100 degrees without anterosuperior escape. His preoperative x-rays shown below.

Here's a video of his function at his last clinic visit.
Here is a video of an active woman two years after her CTA prosthesis for cuff tear arthropathy.
Here are the x-rays and the shoulder function of a man one year out from his CTA arthroplasty
Comment: From our standpoint, the CTA arthroplasty is a most attractive option for consideration by active individuals with cuff tear arthropathy and the ability to actively elevate the arm above 90 degrees without manifesting anterosuperior instability. Inserting the prosthesis with impaction grafting makes for an easy conversion to a reverse should that be necessary, fortunately this is rarely the case. The cuff tear arthropathy prosthesis is considered for individuals with active elevation of 90 or more degrees without anterosuperior escape – especially those who desire higher levels of physical activity or those who are at increased risk of falls. It is important to realize that this prosthesis has an extended lateral joint surface for articulation with the undersurface of the coracoacromial arch, thus it is distinct from the usual hemiarthroplasty prosthesis. The implant system should allow selection of the appropriate diameter of curvature and should enable fixation by impaction grafting.
The surgical keys to a successful CTA arthroplasty are (1) optimizing stability and (2) matching the prosthetic diameter of curvature to that of the resected humeral head. The patient positioning, anesthetic, prophylactic antibiotics, skin preparation, and skin incision are identical to that for an anatomic arthroplasty.
In exposing the humeral head, we retain as much as possible of the clavipectoral fascia attached to the coracoacromial ligament (the “CA+”) as an additional barrier to anterosuperior instability.
The subscapularis is carefully incised from the lesser tuberosity taking care to keep the subjacent capsule attached to its deep side. The humerus is exposed by gentle external rotation allowing for debridement of cuff tendon remnants and osteophytes as well as sectioning of the long head tendon of the biceps if it remains intact. The humeral head height and diameter of curvature are measured, ideally before the head is resected.
The medullary canal is entered and progressively larger reamers inserted as sizers until the diaphyseal endosteal cortex is encountered at a depth corresponding to the length of the prosthetic stem (‘love at first bite’); this reamer defines the orthopaedic axis. The humeral head is resected at an angle of 45 degrees with the orthopaedic axis; the proximal humerus is prepared as for a standard humeral arthroplasty. The lateral tuberosity is resected. The humeral head diameter of curvature is chosen to match that of the resected head. Trial reduction is carried out. The height of the prosthesis is selected so that the deltoid is under mild-moderate tension when the arm is adducted. Impaction grafting is carried out using bone from the resected humeral head. If the biceps tendon is available, an in-and-out biceps tenodesis is performed. Drill holes are placed for reattachment of the subscapularis. The is prosthesis assembled and inserted and the subscapularis is securely repaired.
Additional relevant posts can be found here and here and here
We first described our approach over two decades ago in a publication, Prosthetic replacement of the shoulder for the treatment of defects in the rotator cuff and the surface of the glenohumeral joint, which reported on twenty-one shoulders in nineteen patients, fifty-four to eighty-four years old, who had disabling pain attributable to a massive tear of the rotator cuff, accompanied by loss of the surface of the glenohumeral joint. These patients were not candidates for total shoulder replacement because of the massive deficiency in the cuff and the fixed upward displacement of the humeral head. At that time reverse total shoulder was not an option. A prerequisite for hemiarthroplasty was a functionally intact coracoacromial arch to provide superior secondary stability for the prosthesis. One important aspect of the operative technique was the selection of a sufficiently small prosthesis so that excessive tightness of the posterior aspect of the capsule could be avoided. Eighteen shoulders in sixteen patients were available for follow-up, which ranged from twenty-five to 122 months. Pain decreased from marked or disabling in fourteen shoulders preoperatively to none or slight in ten and to pain only after unusual activity in four. Active forward elevation improved from an average of 66 degrees preoperatively to an average of 109 degrees postoperatively. One patient, who had had an excellent result, fell and sustained an acromial fracture, so the functional result changed to poor. Three patients had persistent, substantial pain in the shoulder that led to a revision. Neither infection nor prosthetic loosening nor instability developed in any shoulder.
=====
The reader may also be interested in these posts:
Consultation for those who live a distance away from Seattle.
Click here to see the new Shoulder Arthritis Book.
Click here to see the new Rotator Cuff Book
Information about shoulder exercises can be found at this link.
Use the "Search" box to the right to find other topics of interest to you.
You may be interested in some of our most visited web pages including:shoulder arthritis, total shoulder, ream and run, reverse total shoulder, CTA arthroplasty, and rotator cuff surgery as well as the 'ream and run essentials'
See from which cities our patients come.
See the countries from which our readers come on this post.













0 Response to "Treating cuff tear arthropathy in the active patient - the CTA prosthesis"
Posting Komentar